top of page
Create Your First Project
Start adding your projects to your portfolio. Click on "Manage Projects" to get started
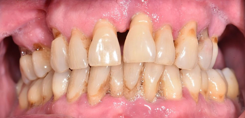
Réhabilitation bi-maxillaire
Extraction de la totalité des dents, mise en place des implants et empreintes.
Mise en place de prothèses provisoires fixes sur implants le lendemain de la chirurgie. Les prothèses provisoires sont remplacées par les définitives à cicatrisation des implants.






bottom of page

